- Cough
- Hoarse voice
- Spitting or coughing up blood
- Headache and swelling of the face, arms, or neck
- Chest pain that can be dull, sharp, or stabbing
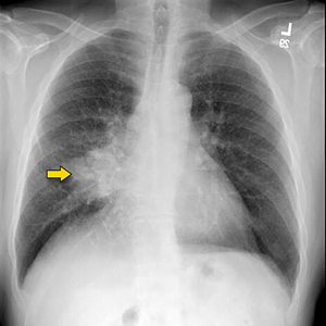
Yes. Your doctor after examining you may advice Chest X-ray. If the chest X-ray is suspicious of lung cancer, he or she will probably follow up with other tests. These can include:
- Blood tests
- CT or PET scan
- Biopsy – May be by bronchoscopy or CT scan guided.

Cancer staging is a way to find out how much the disease has spread in the body.
Based on cancer stage and performance status of patient, line of treatment would be considered.
To learn more (Click Here)
To learn more (Click Here)
- Surgery - Lung cancer in early stages can be treated with surgery
- Radiation therapy – Radiation kills cancer cells.
- Chemotherapy – Medicines that kills cancer cells or stop them from growing.
- Targeted therapy – Some medicines work only for cancers that have certain characteristics. Your doctor might advise tests like EGFR, ALK, ROS-1 etc to see if you have a kind of lung cancer that would respond to these medicines.
- Immunotherapy – Drugs that work with the body's infection-fighting system (the "immune system") to stop cancer growth.
Palliative care – Advanced stage of cancer where definitive treatment is not possible, aim is to reduce patient’s suffering by relieving pain, breathlessness, cough by giving pain killers, draining chest fluid followed by pleurodesis, giving oxygen supplement.
To learn more, (Click Here)

After certain numbers of chemotherapy cycles or after certain time interval your doctor may advice to do tests like liquid biopsy or PET CT scan to see whether disease has worsened or not.
It can come at same site or it may appear at different site like liver, adrenal gland, bones or brain also. You may require treatment again with some of the above-mentioned line of treatment.

Maybe. The best way to avoid getting lung cancer is to not smoke. Smoking increased chances of lung cancer significantly.
To know more (Click Here)
To know more (Click Here)






