Interstitial Lung Disease
Interstitial lung disease a group of lung disorders which causes inflammation and sometimes scarring in the lungs. This leads to difficulty inn oxygenation of blood.
- Occupation or Environmental exposure to dust or fumes or chemicals
- Auto-immune diseases like Rheumatoid arthritis, scleroderma
- Drugs like amiodarone, bleomycin etc
- Radiation received during cancer treatment
- Infections may mimic ILDc
- Progressive worsening shortness of breath
- Dry cough
- Increased respiratory rate
Sometimes it’s associated with joint pain, photosensitivity, hair loss, skin abnormalities when its associated with connective tissue disorder.

Connective tissue disorder associated with interstitial lung disease
After taking thorough history, doctor may advice you following test Blood tests to tests for autoimmune disorders
Chest X-ray
HRCT scan of the chest
Breathing tests, also called "pulmonary function tests" – These tests measure how well the lungs are working.
ECG and 2D ECHO In some cases, Bronchoscopy for BAL+ Lung biopsy or Thoracoscopic lung biopsy may be required to confirm the type of ILD.
Chest X-ray
HRCT scan of the chest
Breathing tests, also called "pulmonary function tests" – These tests measure how well the lungs are working.
ECG and 2D ECHO In some cases, Bronchoscopy for BAL+ Lung biopsy or Thoracoscopic lung biopsy may be required to confirm the type of ILD.

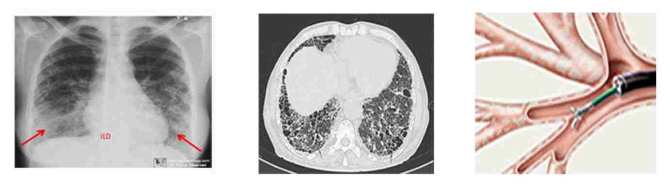
1. Chest X-ray showing reticulo-nodular opacity
2. HRCT chest showing ground glass opacity
3. HRCT Chest showing honeycombing
Treatment depends on what is the cause and how severe is the disease. If its because of infection, you will be prescribed medicine. If it is caused by auto immune disorder then you will be started on treatment for the same which may include immunosuppressive medicine.
Many people with interstitial lung disease are treated with:
Many people with interstitial lung disease are treated with:
- Oxygen supplement
- Steroid to reduce inflammation. These are not the same as the steroids some athletes take illegally.
- Immunosuppressive medicine
- Pulmonary rehab – In pulmonary rehab, people learn exercises and ways to breathe that can help with symptoms.
To learn more about chest physiotherapy and breathing exercises Click Here
All of the above would control the progression. Once fibrosis has occurred it can not be reversed. LUNG TRANSPLANT is the only curative option.
To learn more, Visit
(Apollo Hospital, Chennai)
(KIMS HOSPITAL, SECUNDERABAD)





